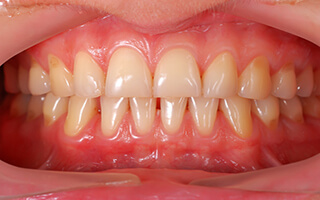
The inexpensive heart helper that also stops gum disease

You probably already know that vitamin D is great for your heart. It can stop heart disease and prevent heart attacks. And you probably know that vitamin D is great for your bones. So it won't surprise you when I tell you that vitamin D is great for your teeth. What may surprise you, though, is that vitamin D also can prevent gum disease.


Continue Reading...

Can a waste product from beer manufacturing protect your teeth and gums?

If you're like me, the thought of using a waste product in your mouth is downright disgusting. But not all waste products are as gross as we think they are. Some waste products, in fact, are simply the unused part of a plant. And a new study suggests that the unused part of one plant can be quite beneficial to your teeth and gums.


Continue Reading...

Inexpensive protein significantly lowers your risk for diabetes and heart disease

It's no secret that being overweight increases your risk for diabetes and heart disease. But a new study out of Europe says that you can lower your risk simply by eating a readily available protein.


Continue Reading...

Reduce malaria symptoms by 34% with two-nutrient combination

While visiting Pearl Harbor in 2001, I was browsing through some of the books in the gifts store when I noticed something amazing. There, in one of the books, was a picture of my Uncle Len enjoying a cigarette after their victory at Guadalcanal. It was great to see a glimpse of what he experienced during the war. Uncle Len, and my Uncle Bob, fought in most of the battles in the South Pacific. While they both survived, my Uncle Len brought home an illness that affects millions of people around the world — malaria.


Continue Reading...

Will this vitamin deficiency cause an abnormal Pap smear and colon polyps?

If you ever have an abnormal Pap smear or colon polyps, does that mean you're destined to have cancer? If you don't do anything, the answer is probably yes. But you don't have to submit to conventional treatments to avoid cancer in either case. That's because recent research has found that both conditions might be the result of a common vitamin deficiency.


Continue Reading...

Get A Free Copy Of This Powerful Report

Inside You'll Discover

3 hidden memory-destroying triggers that no one told you about. Plus... the latest scientific research on how to undo the damage and get your memory back.

A simple test you can do at home to track your memory. I call it a "test," but it's really more like a game.

and more...

Enter your name and email to claim this free report and join our newsletter

Get Report!